Produkten har lagts i din varukorg Visa varukorgenTill kassan
Din webbläsare stöds ej. För bästa upplevelsen rekommenderas en nyare version eller en annan webbläsare.
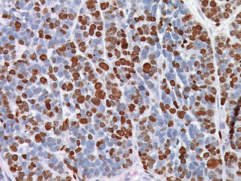
Breast cancer stained with Ki-67 antibody

Ki-67 (SP6) 0,1mL

BC-CRM325A
Ej i lager
Beställningsvara
Produktfråga

Vad vill du veta om Ki-67 (SP6) 0,1mL?

Skicka

Beskrivning

Specifications  
Intended Use
Source
Species Reactivity , 
Clone
Isotype
Antigen
Cellular Localization
Positive Control , 
Normal Tissue , 
Abnormal Tissue , , 
The Ki-67 nuclear antigen is associated with cell proliferation. It is found throughout the cell cycle that includes the G1, S, G2, and M phases; but not the (GO) phase. It is used to grade proliferation rates of tumors. The high affinity and/or binding capacity of rabbit antibodies provide superior staining results and less chance for technical false negatives.
Läs mer ...Stäng