The product has been added to your shopping cart Show shopping cartCheckout
Your browser is not supported. For the best experience, a newer version or another browser is recommended.
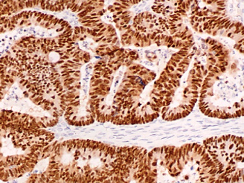
Colon cancer stained with CDX2 antibody

CDX2 5mL

BC-VP226G
Not in stock
Special order item
Product question

What would you like to know about CDX2 5mL?

Send

Description

Specifications  
Intended Use
Source
Species Reactivity , 
Clone
Isotype
Antigen
Cellular Localization
Positive Control
Normal Tissue
Abnormal Tissue , , 
CDX2 is a homeobox gene that encodes an intestine-specific transcription factor. It is expressed in the nuclei of epithelial cells of the intestine, from duodenum to rectum. The CDX2 protein is expressed in primary and metastatic colorectal carcinomas. It has also been identified in intestinal metaplasia of the stomach and in intestinal-type gastric cancer. CDX2 is not expressed in normal gastric mucosa. Studies have shown that the CDX2 marker is superior to CK20.
More ...Close