The product has been added to your shopping cart Show shopping cartCheckout
Your browser is not supported. For the best experience, a newer version or another browser is recommended.

pHH3 (Clone: BC37) 1,0 ml

BC-ACI3130C
Not in stock
Special order item
Product question

What would you like to know about pHH3 (Clone: BC37) 1,0 ml?

Send

Description

pHH3
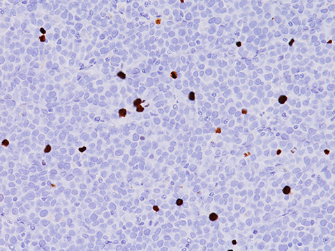
Phosphohistone H3 (pHH3) is a recently described marker specific for cells undergoing mitosis. Serine 10 of Histone H3 is phosphorylated in association with mitotic chromatin condensation in late G2 and M phase of the cell cycle and thus, pHH3 can distinguish mitosis from apoptotic nuclei (1). Microscopic evaluation of mitotic figures by hematoxylin and eosin (H&E) staining is a routine procedure in the assessment of the prognostic grade of tumors (2,3). The immunohistochemical (IHC) staining of pHH3 (Ser10) has been reported to be comparable to mitotic figure staining in the H&E section (4-6). However, in some cases, H&E staining may misclassify mitotic cells as apoptotic bodies or piknotic nuclei, resulting in an underestimation of the mitotic index (MI). IHC with pHH3 may provide a more accurate assessment of all mitotic cells, as well as cells in which Histone H3 has been phosphorylated immediately prior to entering prophase (7). Prognostic significance of the mitotic index using an anti-pHH3 antibody has been reported to be of great value in breast cancer, melanoma and meningiomas (8,9).
 
A rabbit monoclonal (RM) antibody targeting phosphorylated Serine 10 of pHH3, clone [BC37], has been developed and characterized by Western blot, ELISA, and IHC. In tonsil and melanoma, pHH3 (RM) displays stronger staining intensity in mitotic figures compared to the polyclonal pHH3. Additionally, pHH3 (RM) does not exhibit granular staining in interphase nuclei, unlike the polyclonal pHH3 (Figure 1A, 1B). pHH3 (RM) may offer other advantages common to rabbit monoclonal antibodies, including a specific epitope and lot-to-lot consistency.
 

INTENDED USE                             IVD
FORMAT                                       Concentrate, Predilute
VOLUME                                       0.1 ml, 1.0 ml, 6.0 ml
SOURCE                                       Rabbit Monoclonal
CLONE                                          BC37
ISOTYPE                                       IgG
ANTIGEN                                       PhosphoSer10 of Histone H3 protein
LOCALIZATION                               Nuclear
POSITIVE CONTROL                      Tonsil or Melanoma
SPECIES REACTIVITY                   Human, Others Not Tested
More ...Close