Produkten har lagts i din varukorg Visa varukorgenTill kassan
Din webbläsare stöds ej. För bästa upplevelsen rekommenderas en nyare version eller en annan webbläsare.

Smooth Muscle Myosin Heavy C. 0,5 ml

BC-CM420B
Ej i lager
Beställningsvara
Produktfråga

Vad vill du veta om Smooth Muscle Myosin Heavy C. 0,5 ml?

Skicka

Beskrivning

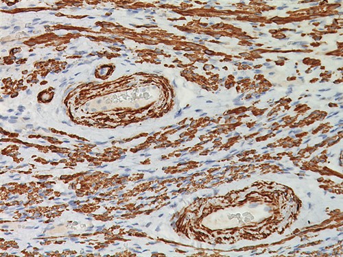
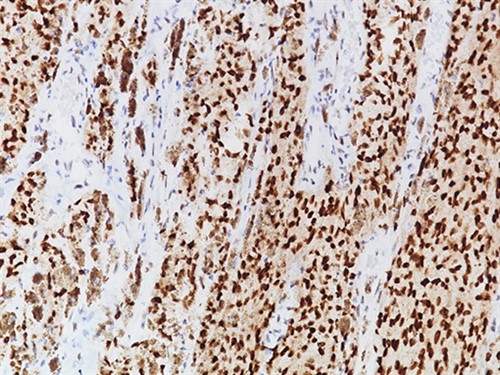
Smooth Muscle-Myosin Heavy Chain (SM-MHC) is a cytoplasmic structural protein that is a major component of the contractile apparatus in smooth muscle cells. Expression of smooth muscle myosin is developmentally regulated, appearing early and is specific for smooth muscle development. SM-MHC stains the intact myoepithelial cell (MEC) layers present in benign and in situ malignant breast and bronchioloalveolar lesions and is therefore very helpful in distinguishing between benign and malignant tumors. Studies have shown that Calponin, SM-MHC and p63 labeled MECs in intraductal and micropapillary DCIS cases while invasive papillary carcinomas (IC) were uniformly negative for all cases. Staining with p63 was discontinuous, making interpretation difficult. Calponin was more sensitive and intense than SM-MHC but less specific exhibiting cross-reactivity with myofibroblastic cells. Although CD10 can aid in the distinction between IC and DCIS, SM-MHC is a more sensitive and specific marker of MEC and shows less heterogeneity of immunostaining pattern. SM-MHC also reacts with visceral and vascular smooth muscle cells.

Läs mer ...Stäng