Produkten har lagts i din varukorg Visa varukorgenTill kassan
Din webbläsare stöds ej. För bästa upplevelsen rekommenderas en nyare version eller en annan webbläsare.
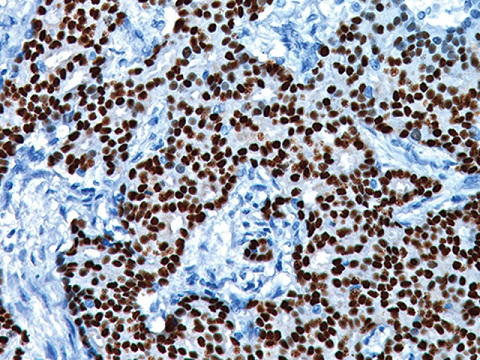
Breast cancer stained with ER

ER 6mL

BC-PRM301AA
Ej i lager
Beställningsvara
Produktfråga

Vad vill du veta om ER 6mL?

Skicka

Beskrivning

Specifications  
Intended Use , 
Source
Species Reactivity , 
Clone
Isotype
Antigen
Cellular Localization
Positive Control
Normal Tissue
Abnormal Tissue
Clone SP1 has been established to work in formalin-fixed, paraffinembedded tissues. The presence of ER in breast tumors indicates an increased likelihood of response to anti-estrogen (tamoxifen) therapy. Staining patterns observed include: ER+ and PR+, ER+ and PR-, ER- and PR+, and ER- and PR-. The SP1 clone is a high affinity rabbit monoclonal. An in-house study showed that SP1 clone had 5 times more binding capacity than ER clone 6F11 and 10 times more binding capacity than ER clone 1D5. Studies also have shown that the SP1 clone is superior to 1D5 in predicting survival. Excellent results can be achieved with antigen retrieval at lower temperatures such as 80 or 95 degrees Celsius. The robustness of SP1 is further proved by the fact that in some instances staining can be obtained even without antigen retrieval. Thus, SP1 may prove of great value in the assessment of ER status in human breast cancer.
Läs mer ...Stäng