The product has been added to your shopping cart Show shopping cartCheckout
Your browser is not supported. For the best experience, a newer version or another browser is recommended.

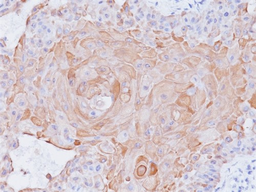
Cytokeratin 17 (CD17 Clone: Ks 17.E3) 6 ml

BC-PM176AA
Not in stock
Special order item
Product question

What would you like to know about Cytokeratin 17 (CD17 Clone: Ks 17.E3) 6 ml?

Send

Description

Cytokeratin 17 antibody (CK17) is a type I keratin that reacts with a 40 kDa polypeptide. CK17 staining occurs in human epithelial appendages such as hair follicles. Studies indicate CK17 maybe an excellent marker for the identification of squamous cell carcinomas in various tissues including the cervix, lung and oral cavity. CK17 may also be helpful in distinguishing myoepithelial cells from luminal epithelium of various glands such as mammary, sweat and salivary. Positive expression of CK17 in breast cancer has been associated with a worse prognosis, high tumor grade and positive axillary lymph nodes.

More ...Close